DVT POCUS
A deep vein thrombosis (DVT) can be accurately diagnosed or ruled out with POCUS of the deep veins of the thigh. This is done by visualizing the vein and applying compressive pressure with the ultrasound probe to determine if the vein completely collapses at a given location.
A few basic protocols have been studied extensively: two-point compression, three-point compression, or complete compression of the upper and lower extremity veins. When compared with a full compression exam done by a radiologist, both two-point and three-point compression have over 90% sensitivity and specificity for diagnosing a DVT. In one study of hospitalist physicians, 3-Zone compression exam was 100% sensitive and 95% specific for DVT. This is a primer on the DVT Exam. More in depth tutorial with videos and clinical cases are available in The POCUS Textbook.​​
DVT POCUS Overview
Patient & probe positioning
The patient should be in a supine or slightly reverse Trendelenburg position to cause blood to pool in the lower extremities. Bend the knee and externally rotate at the hip to expose the medial portion of the thigh.
​
The linear probe or handheld probe in a vascular preset should be used. As you sweep down the leg, apply gentle perpendicular pressure to the thigh. The vein should completely collapse and the artery should "wink."
Zone 1: Common Femoral vein to Greater Saphenous vein Junction
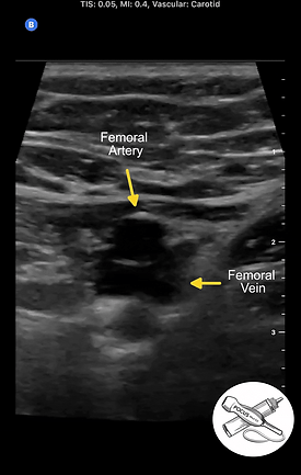
The external iliac artery and vein travel down the leg and change names to the common femoral artery and vein after crossing the inguinal ligament. Starting as high as you can get in the inguinal crease, identify the common femoral vessels. They are usually large and running parallel. Artery will be lateral, vein medial. ​​


Sweep the probe down toward the feet, compressing every 1 to 2 centimeters until the Greater Saphenous vein is seen exiting the Common Femoral vein.


Zone 2: Femoral Vein and Artery from Greater Saphenous Vein to Adductor Canal
After the Greater Saphenous Vein exits the Common Femoral vein, it changes its name to the Femoral vein. The Femoral vein and artery travel down the medial thigh until they reach the adductor canal and dive posteriorly.


Zone 3: Popliteal Vein and Artery after exiting Adductor Canal posteriorly
The Femoral vein and artery dive deep through the Adductor canal and emerge behind the knee. The Popliteal Vein is now on top of the popliteal artery.


Positive Study Example
If there is in fact a DVT in one of the veins examined, it will not be collapse with probe pressure. Depending on the chronicity of the clot, the echogenicity will differ. In general the more chronic a clot, the more hyperechoic but this is not a hard and fast rule.​ In this example the femoral vein is not collapsing despite adequate ultrasound probe pressure being applied.

